症例一覧
- トップページ
- 症例一覧
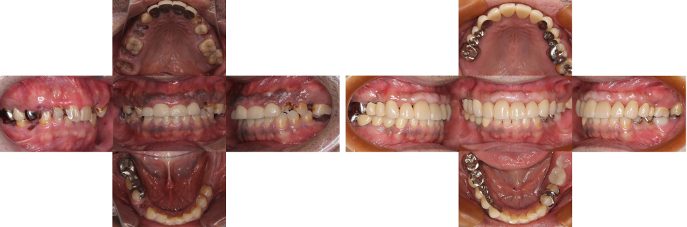
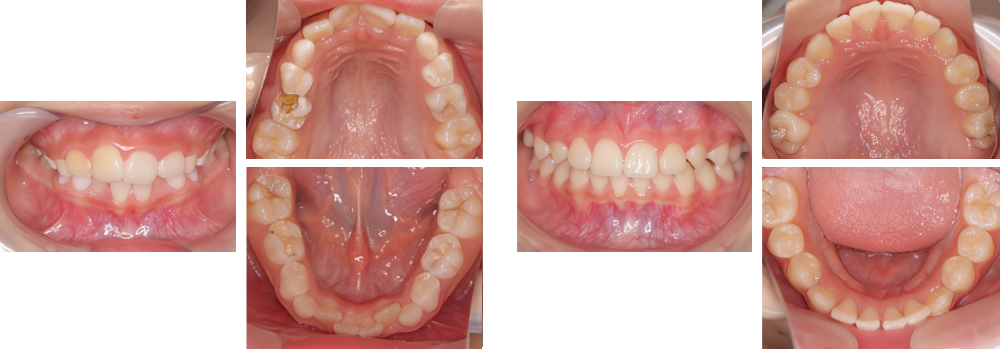
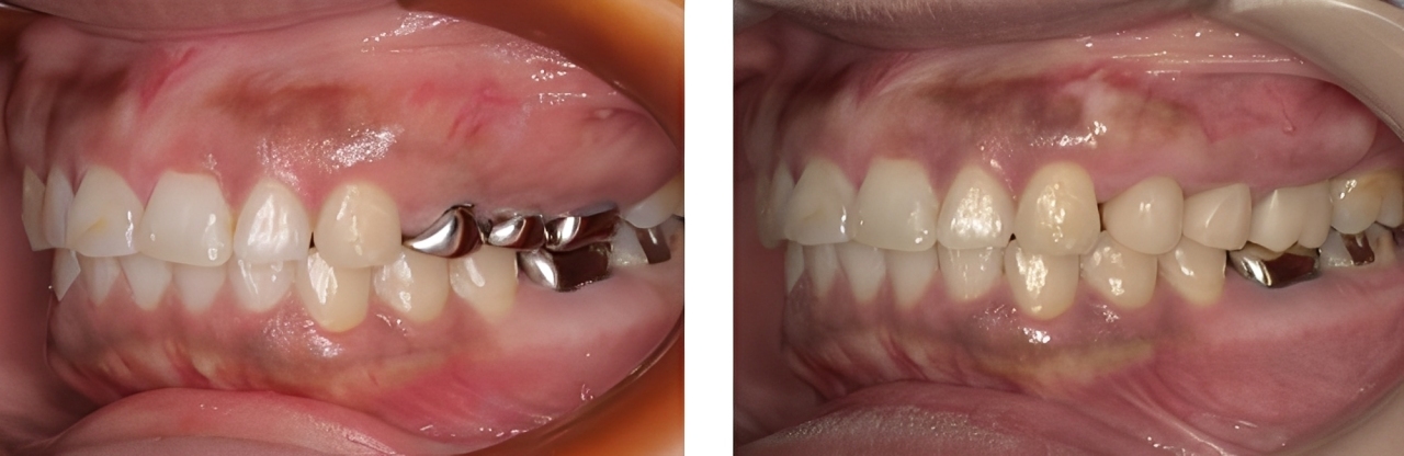
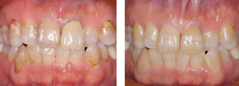
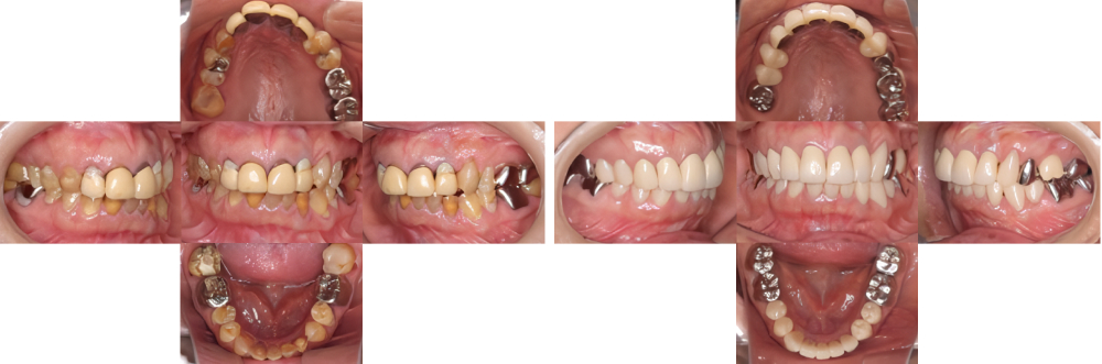
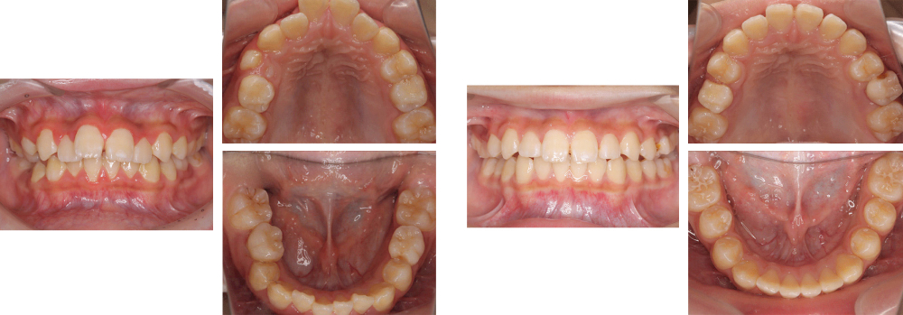
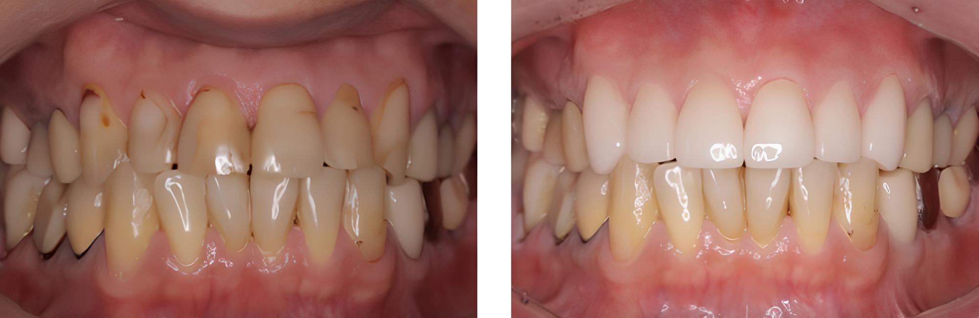
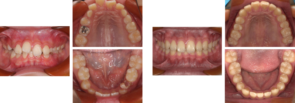
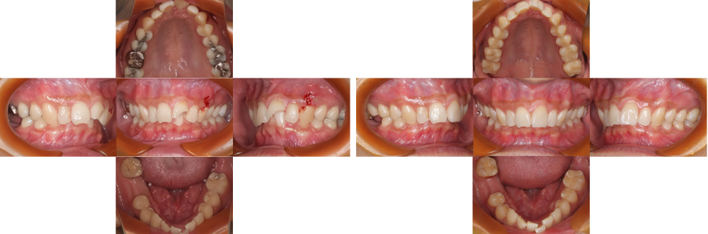
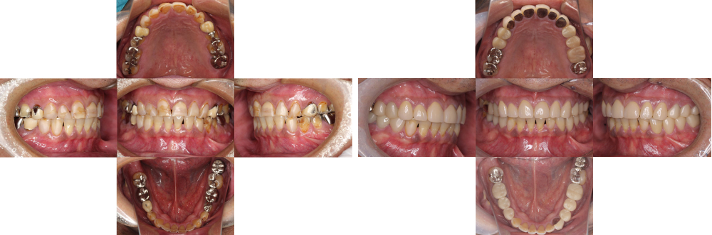
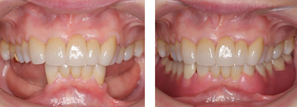
全顎保険治療
術前
術後
| 治療内容 | 全顎的に保険内で治療を行った |
|---|---|
| 治療期間・回数 | 約2.5年・約50回 |
| 費用 | 保険適用となります |
| リスク・副作用 |
|
| 治療内容 | 全顎的に保険内で治療を行った |
|---|---|
| 治療期間・回数 | 約3年・約55回 |
| 費用 | 保険適用となります |
| リスク・副作用 |
|
| 治療内容 | 全顎的に保険内で治療を行った |
|---|---|
| 治療期間・回数 | 約1年4カ月・約34回 |
| 費用 | 保険適用となります |
| リスク・副作用 |
|
| 治療内容 | 全顎的に保険内で治療を行った |
|---|---|
| 治療期間・回数 | 約1年4カ月・約21回 |
| 費用 | 保険適用となります |
| リスク・副作用 |
|
| 治療内容 | 全顎的に保険内で治療を行った |
|---|---|
| 治療期間・回数 | 約3年・約70回 |
| 費用 | 保険適用となります |
| リスク・副作用 |
|
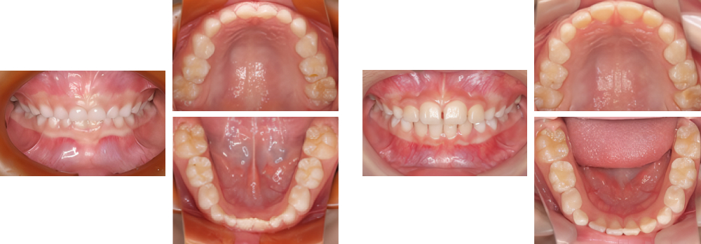
| 治療内容 | 全顎的に咬合再構成を行い保険内で治療を行った |
|---|---|
| 治療期間・回数 | 約4年・約50回 |
| 費用 | 保険適用となります |
| リスク・副作用 |
|
| 治療内容 | 全顎的に保険内で治療を行った |
|---|---|
| 治療期間・回数 | 約3年・約60回 |
| 費用 | 保険適用となります |
| リスク・副作用 |
|
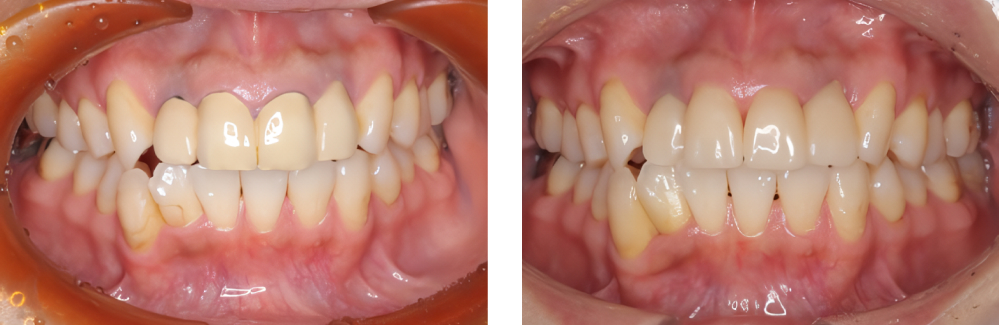
CAD/CAM
術前
術後
| 治療内容 | 保険適応のCAD/CAM冠による治療 |
|---|---|
| 治療期間・回数 | 約10カ月・12回 |
| 費用 | 保険適用となります |
| リスク・副作用 |
|
| 治療内容 | 保険適応のCAD/CAM冠による治療 |
|---|---|
| 治療期間・回数 | 約4カ月・12回 |
| 費用 | 保険適用となります |
| リスク・副作用 |
|
| 治療内容 | 保険適応のCAD/CAM冠による治療 |
|---|---|
| 治療期間・回数 | 約8カ月・16回 |
| 費用 | 保険適用となります |
| リスク・副作用 |
|
| 治療内容 | 保険適応のCAD/CAM冠による治療 |
|---|---|
| 治療期間・回数 | 約8カ月・14回 |
| 費用 | 保険適用となります |
| リスク・副作用 |
|
| 治療内容 | 保険適応のCAD/CAM冠による治療 |
|---|---|
| 治療期間・回数 | 4カ月・12回 |
| 費用 | 保険適用となります |
| リスク・副作用 |
|
| 治療内容 | 保険適応のCAD/CAM冠による治療 |
|---|---|
| 治療期間・回数 | 約6カ月・10回 |
| 費用 | 保険適用となります |
| リスク・副作用 |
|
| 治療内容 | 縁下カリエスのためMTMにて挺出後、歯冠長延長手術を行い 保険適応のCAD/CAM冠による治療を行った |
|---|---|
| 治療期間・回数 | 約10カ月・25回 |
| 費用 | MTM:55,000円 それ以外は保険適用となります |
| リスク・副作用 |
|
| 治療内容 | 保険適応のCAD/CAM 冠による治療 |
|---|---|
| 治療期間・回数 | 約18ヵ月・43回 |
| 費用 | 保険適用となります |
| リスク・副作用 |
|
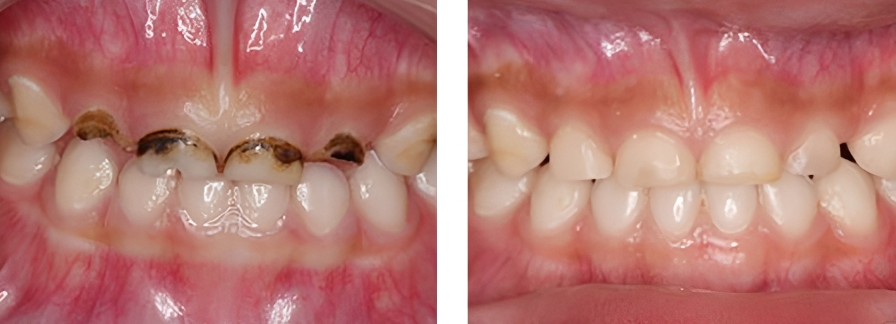
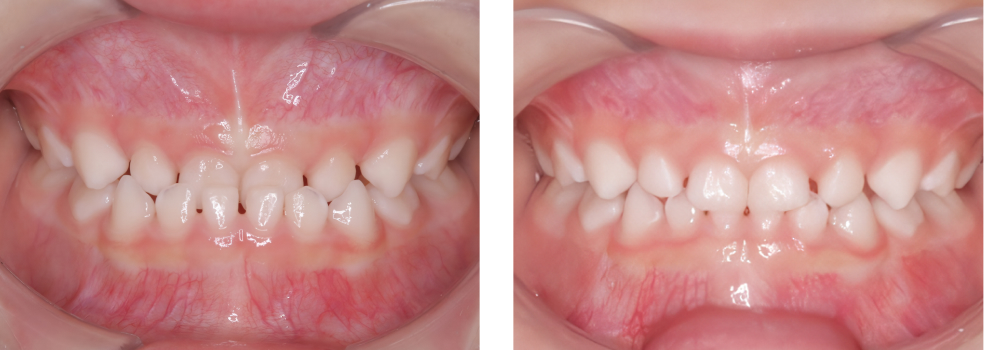
むし歯治療
術前
術後
| 治療内容 | 保険内でむし歯治療を行った |
|---|---|
| 治療期間・回数 | 1日・1回 |
| 費用 |
保険適用となります |
| リスク・副作用 | ・白いプラスチックでつくられているため経年劣化でプラスチックの部分は黄色や茶色に変色してしまいます。 |
小児歯科
術前
術後
| 治療内容 | 外傷による歯冠破折に対してCRにて破折片の再接着を行った |
|---|---|
| 治療期間・回数 | 1日・1回 |
| 費用 | 保険適用となります |
| リスク・副作用 |
|
| 治療内容 | むし歯に対してCR充填にて治療を行った |
|---|---|
| 治療期間・回数 | 2カ月・7回 |
| 費用 | 保険適用となります |
| リスク・副作用 |
|
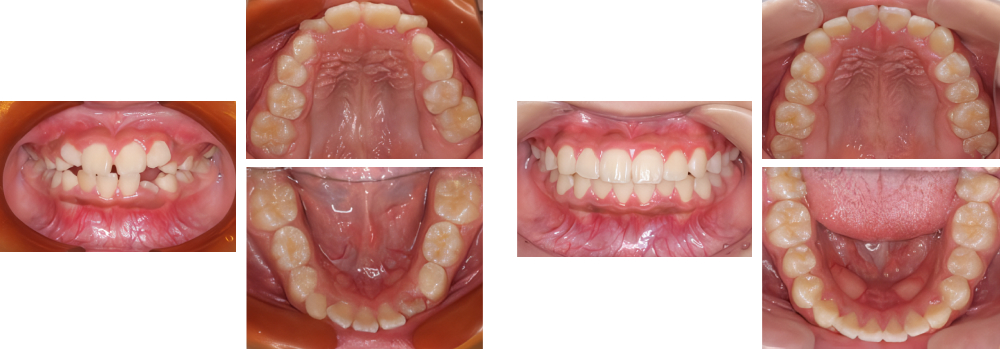
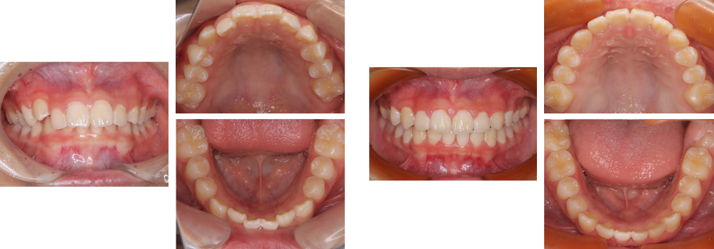
小児矯正
術前
術後
| 治療内容 | 叢生に対して床矯正を使用し治療を行った |
|---|---|
| 治療期間・回数 | 20カ月間・19回(動的治療まで) |
| 費用 ※自由診療となります |
矯正検査①:33,000円 床装置(ネジあり):77,000円 ×2 床装置(ネジなし):55,000円 ×2 |
| リスク・副作用 |
|
| 治療内容 | 反対咬合に対してムーシールドを使用し治療を行った |
|---|---|
| 治療期間・回数 | 3カ月間・2回 |
| 費用 ※自由診療となります |
ムーシールド:55,000円 |
| リスク・副作用 |
|
| 治療内容 | 叢生に対して床矯正・ブラケットを使用し治療を行った |
|---|---|
| 治療期間・回数 | 40カ月間・37回(動的治療まで) |
| 費用 ※自由診療となります |
矯正検査①:33,000円 床装置(ネジあり):77,000円 ×4 ブラケット:198,000円 ×2 |
| リスク・副作用 |
|
| 治療内容 | 叢生に対して床矯正を使用し治療を行った |
|---|---|
| 治療期間・回数 | 31カ月間・25回(動的治療まで) |
| 費用 ※自由診療となります |
矯正検査①:33,000円 床装置(ネジあり):77,000円 ×2 床装置(ネジなし):55,000円 ×1 |
| リスク・副作用 |
|
| 治療内容 | 上顎前突・叢生に対して床矯正を使用し治療を行った |
|---|---|
| 治療期間・回数 | 14カ月間・16回(動的治療まで) |
| 費用 ※自由診療となります |
矯正検査:33,000円 床装置(ネジあり):77,000円 ×2 (ザンダー:22,000円) 床装置(ネジなし):55,000円 ×2 |
| リスク・副作用 |
|
| 治療内容 | 叢生に対して床矯正を使用し治療を行った |
|---|---|
| 治療期間・回数 | 21カ月間・19回(動的治療まで) |
| 費用 ※自由診療となります |
矯正検査:33,000円 床装置(ネジあり):77,000円 ×2(オクルーザルテーブル:27,500円) 床装置(ネジなし):55,000円 ×2 |
| リスク・副作用 |
|
| 治療内容 | 上顎前突・叢生に対して床矯正を使用し治療を行った |
|---|---|
| 治療期間・回数 | 36カ月間・27回(矯正終了まで) |
| 費用 ※自由診療となります |
矯正検査:33,000円 床装置(ネジあり):77,000円 ×1 床装置(ネジなし):55,000円 ×1 |
| リスク・副作用 |
|
成人矯正
術前
術後
| 治療内容 | 掲載準備中 |
|---|---|
| 治療期間・回数 | 掲載準備中 |
| 費用 ※自由診療となります |
掲載準備中 |
| リスク・副作用 |
|
| 治療内容 | 掲載準備中 |
|---|---|
| 治療期間・回数 | 掲載準備中 |
| 費用 ※自由診療となります |
掲載準備中 |
| リスク・副作用 |
|
| 治療内容 | 掲載準備中 |
|---|---|
| 治療期間・回数 | 掲載準備中 |
| 費用 ※自由診療となります |
掲載準備中 |
| リスク・副作用 |
|
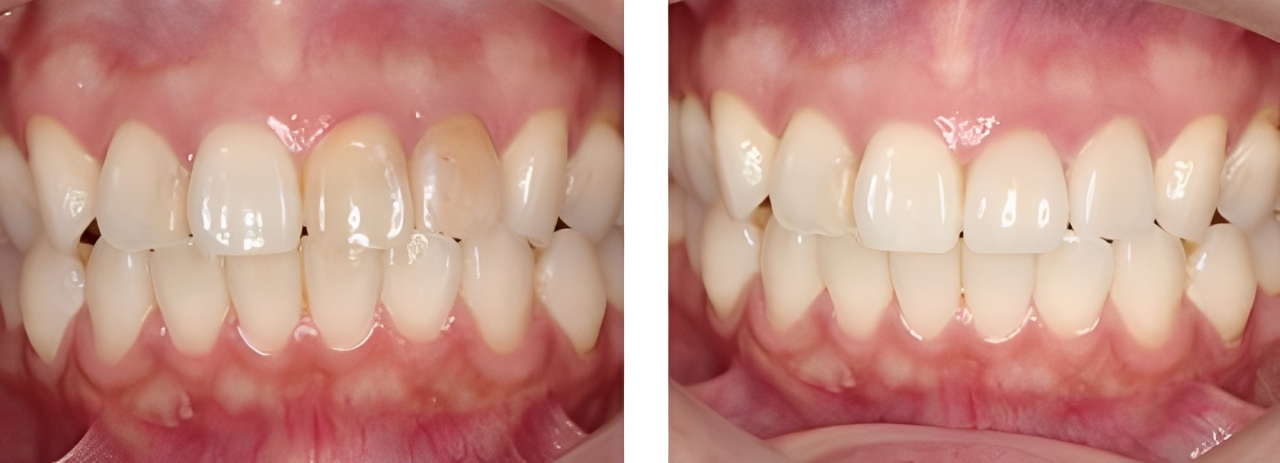
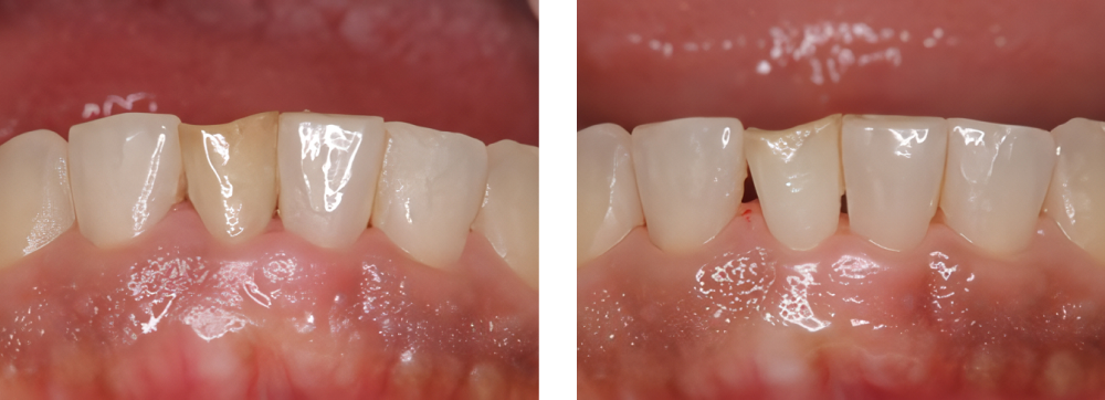
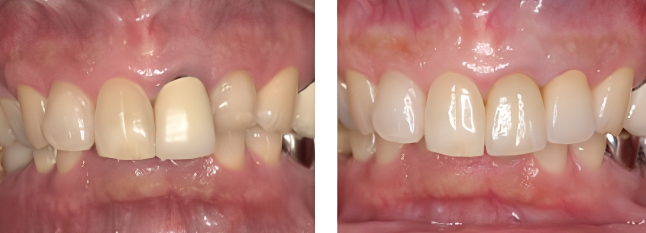
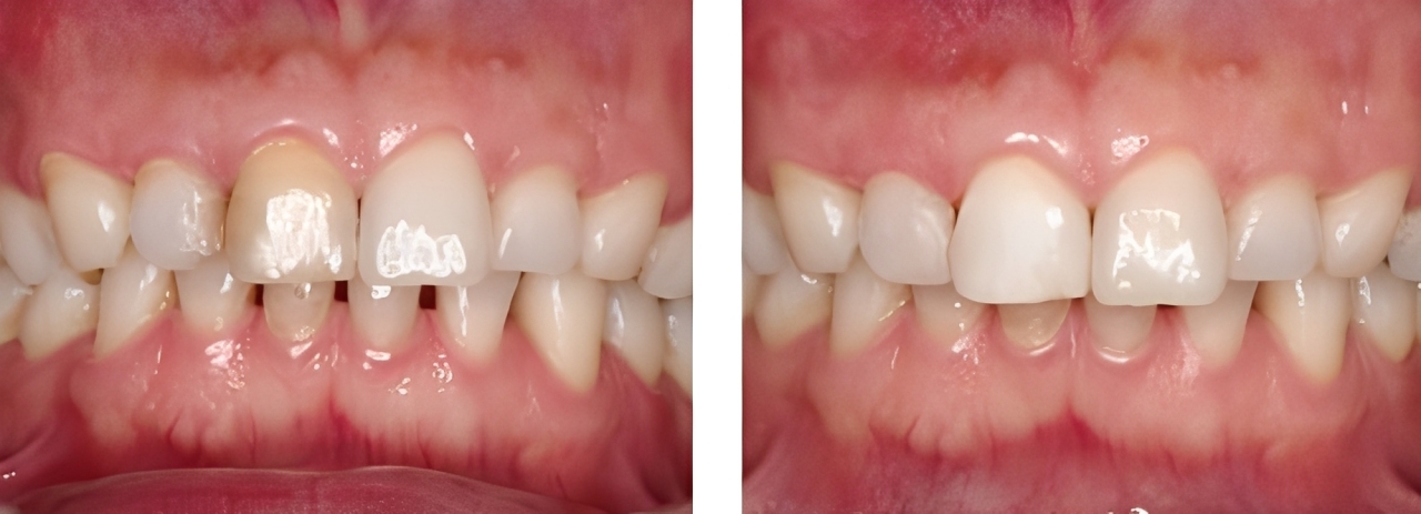
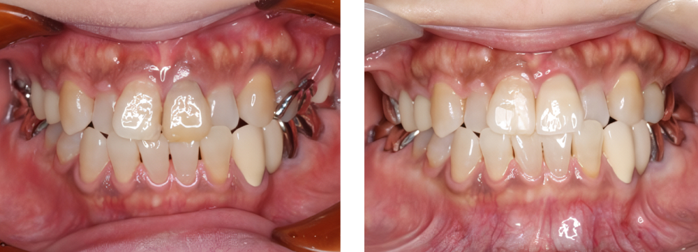
審美歯科
術前
術後
| 治療内容 | ウォーキングブリーチ後ジルコニアセラミックにて治療を行った |
|---|---|
| 治療期間・回数 | 4カ月・10回 |
| 費用 ※自由診療となります |
ウォーキングブリーチ:11,000円 プロビジョナルレストレーション:2,200円 ファイバーコア:16,500円 ジルコニアセラミック:132,000円 |
| リスク・副作用 |
|
| 治療内容 | 色調・形態が左右非対称でありジルコニアセラミックにて治療を行った |
|---|---|
| 治療期間・回数 | 2カ月・6回 |
| 費用 ※自由診療となります |
プロビジョナルレストレーション:2,200円×2 ファイバーコア:16,500円 ジルコニアセラミック:132,000円 |
| リスク・副作用 |
|
| 治療内容 | 色調が左右非対称であったためファイバーコアを作製して、ジルコニアセラミックにて治療を行った |
|---|---|
| 治療期間・回数 | 4カ月・9回 |
| 費用 ※自由診療となります |
プロビジョナルレストレーション:2,200円×3 ファイバーコア:16,500円×3 ジルコニアセラミック:132,000円×3 |
| リスク・副作用 |
|
| 治療内容 | 根管治療を行いジルコニアセラミックにて治療を行った (ウォーキングブリーチ済) |
|---|---|
| 治療期間・回数 | 6カ月・13回 |
| 費用 ※自由診療となります |
プロビジョナルレストレーション:2,200円 ファイバーコア:16,500円 ジルコニアセラミック:132,000円 ウォーキングブリーチ:11,000円 |
| リスク・副作用 |
|
| 治療内容 | MTM後抜歯を行い上下顎前歯部に対してジルコニアセラミックにて治療を行った |
|---|---|
| 治療期間・回数 | 約1年6カ月・23回 |
| 費用 ※自由診療となります |
プロビジョナルレストレーション:2,200円×5 ファイバーコア:16,500円×2 ジルコニアセラミック:132,000円×10 |
| リスク・副作用 |
|
予防歯科
術前
術後
| 治療内容 | 掲載準備中 |
|---|---|
| 治療期間・回数 | 掲載準備中 |
| 費用 ※自由診療となります |
掲載準備中 |
| リスク・副作用 | 掲載準備中 |
歯周病治療
術前
術中
術後
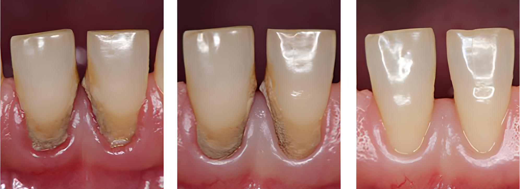
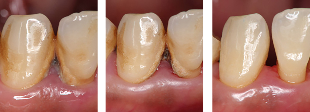
| 治療内容 | 歯磨き指導を行い、歯肉の発赤・腫脹が改善されたため歯石除去を行った |
|---|---|
| 治療期間・回数 | 1カ月・2回 |
| 費用 | 保険適用となります |
| リスク・副作用 |
|
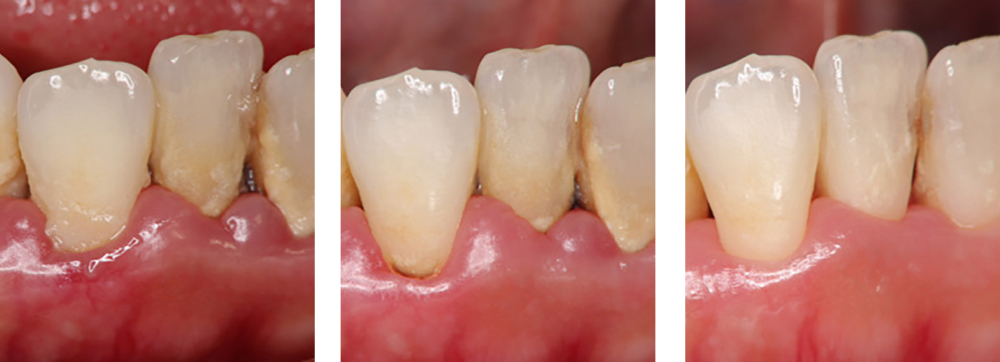
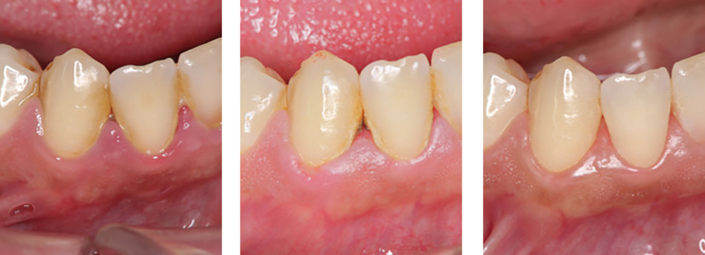
| 治療内容 | 歯磨き指導を行い、歯肉の発赤・腫脹が改善されたため歯石除去を行った |
|---|---|
| 治療期間・回数 | 1カ月・3回 |
| 費用 | 保険適用となります |
| リスク・副作用 |
|
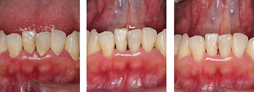
| 治療内容 | 歯磨き指導を行い、歯肉の発赤・腫脹が改善されたため歯石除去を行った |
|---|---|
| 治療期間・回数 | 1カ月・3回 |
| 費用 | 保険適用となります |
| リスク・副作用 |
|
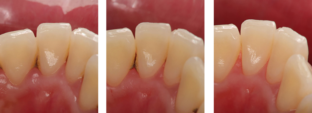
| 治療内容 | 歯磨き指導を行い、歯肉の発赤・腫脹が改善されたため歯石除去を行った |
|---|---|
| 治療期間・回数 | 2カ月・3回 |
| 費用 | 保険適用となります |
| リスク・副作用 |
|
| 治療内容 | 歯磨き指導を行い、歯肉の発赤・腫脹が改善されたため歯石除去を行った |
|---|---|
| 治療期間・回数 | 2カ月・3回 |
| 費用 | 保険適用となります |
| リスク・副作用 |
|
| 治療内容 | 歯磨き指導を行い、歯肉の発赤・腫脹が改善されたため歯石除去を行った |
|---|---|
| 治療期間・回数 | 2カ月・3回 |
| 費用 | 保険適用となります |
| リスク・副作用 |
|
| 治療内容 | 歯磨き指導を行い、歯肉の発赤・腫脹が改善されたため歯石除去を行った |
|---|---|
| 治療期間・回数 | 3カ月・5回 |
| 費用 | 保険適用となります |
| リスク・副作用 |
|
| 治療内容 | 歯磨き指導を行い、歯肉の発赤・腫脹が改善されたため歯石除去を行った |
|---|---|
| 治療期間・回数 | 2カ月・3回 |
| 費用 | 保険適用となります |
| リスク・副作用 |
|
| 治療内容 | 歯磨き指導を行い、歯肉の発赤・腫脹が改善されたため歯石除去を行った |
|---|---|
| 治療期間・回数 | 3カ月・3回 |
| 費用 | 保険適用となります |
| リスク・副作用 |
|
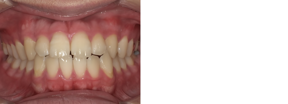
| 治療内容 | 着色の除去を行った |
|---|---|
| 治療期間・回数 | 1日・1回 |
| 費用 | 保険適用となります |
| リスク・副作用 |
|
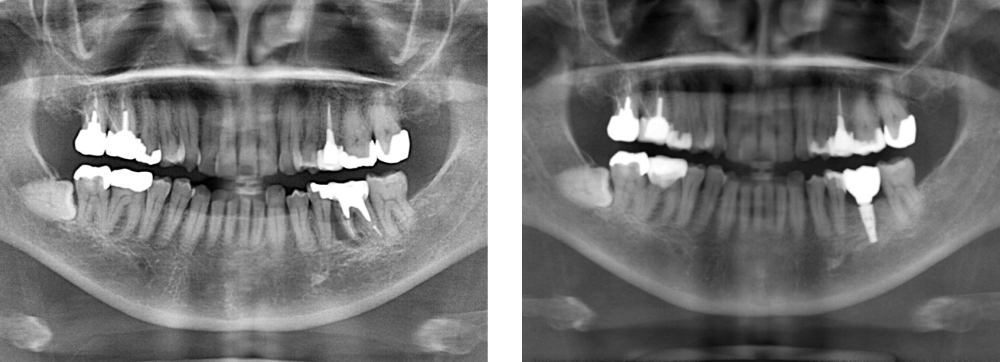
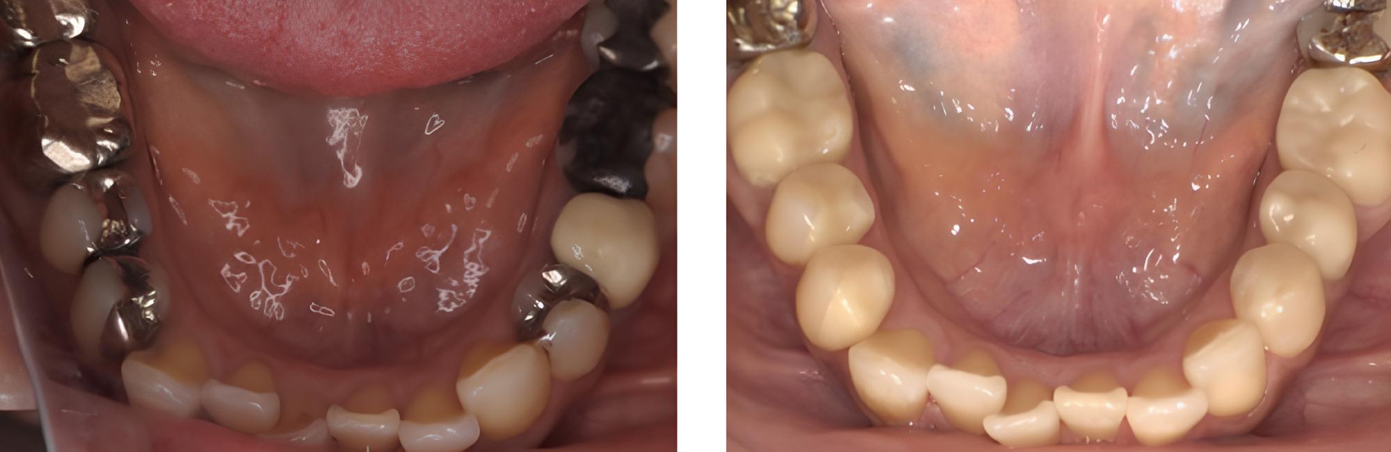
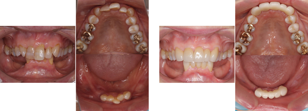
インプラント
術前
術後
| 治療内容 | 歯根破折のため保存不可能 抜歯を行いソケットプリザベーション後インプラントにて治療を行った |
|---|---|
| 治療期間・回数 | 1年6カ月・17回 |
| 費用 ※自由診療となります |
ソケットプリザベーション:100,000円 インプラント総額:539,000円 |
| リスク・副作用 |
|
ホワイトニング
術前
術後
| 治療内容 | 失活歯に対してウォーキングブリーチを行った |
|---|---|
| 治療期間・回数 | 3カ月間・6日 |
| 費用 ※自由診療となります |
11,000円(1歯) |
| リスク・副作用 |
|
| 治療内容 | 上下顎ホームホワイトニングで歯を自然な白さに近づけた |
|---|---|
| 治療期間・回数 | 3カ月間・3回 |
| 費用 ※自由診療となります |
55,000円(両顎) |
| リスク・副作用 |
|
| 治療内容 | 失活歯に対してウォーキングブリーチを行った |
|---|---|
| 治療期間・回数 | 1.5カ月間・3回 |
| 費用 ※自由診療となります |
11,000円(ウォーキングブリーチ) |
| リスク・副作用 |
|
| 治療内容 | 上下顎ホームワイトニングで歯を自然な白さに近づけた |
|---|---|
| 治療期間・回数 | 1.5カ月間・毎日 |
| 費用 ※自由診療となります |
55,000円(両顎) |
| リスク・副作用 |
|
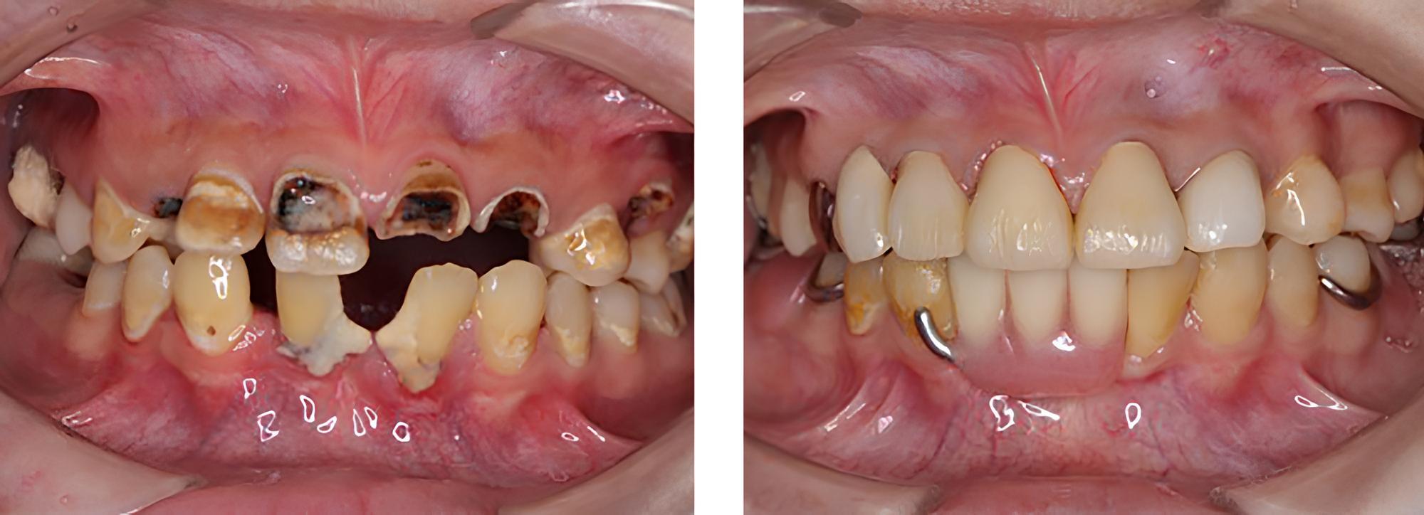
口腔外科
術前
術後
| 治療内容 | 歯根破折のため保存不可能 移植して根管治療を行い、補綴処置を行った ※術後のレントゲンは2年後のレントゲンです |
|---|---|
| 治療期間・回数 | 5カ月・11回 |
| 費用 | 保険適用となります |
| リスク・副作用 |
|
入れ歯治療
術前
術後
| 治療内容 | 金属床義歯(ノンクラスプ仕上げ)にて治療を行った |
|---|---|
| 治療期間・回数 | 2カ月・5回 |
| 費用 ※自由診療となります |
チタン製金属床義歯(ノンクラスプ仕上げ):550,000円 |
| リスク・副作用 |
|
訪問歯科
術前
術後
| 治療内容 | 通院困難な方に対して自宅に訪問し口腔ケアを行った |
|---|---|
| 治療期間・回数 | 1日・1回 |
| 費用 | 保険適用となります |
| リスク・副作用 |
|
| 治療内容 | 通院困難な方に対して自宅に訪問し全顎的治療を行った |
|---|---|
| 治療期間・回数 | 約3年・45回 |
| 費用 | 保険適用となります |
| リスク・副作用 |
|









